
The embedded AI revolution in medical imaging detection
About us
Hekia is revolutionizing real-time disease detection in the field of medical imaging, thanks to a unique real-time, connectionless artificial intelligence analysis solution and the expertise of healthcare professionals.
Hekia is a startup made up of experts in imaging intelligence and embedded artificial intelligence with innovative patented technology, and healthcare professionals.
There's nothing like starting out in the life of a startup with a prize from the Hauts-de-France region as part of the Innovation and Prevention 2023 call for projects!
Hekia is lucky to have a double incubation with Eurasanté and Innova!
AI for ultrasound detection
Hekia is involved with Professor Fumery (CHU-Amiens-Picardie/UPJV) in the ECHIA-IBD1 project for real-time detection of Crohn's disease. The aim of this project is to speed up diagnosis by non-specialists in IBD ultrasound, make digestive tract ultrasound more accessible for monitoring Crohn's disease and UC activity, and improve patient outcomes.
Medical project in progress: RHU I-DEAL
As part of France 2030, Hekia, with its embedded artificial intelligence solution, is taking part in the project headed by Professor Laurent Peyrin-Biroulet. The RHU I-DEAL focuses on the development of innovative tools for remote monitoring and precision imaging, aimed at the early management of Crohn's disease. The aim of this project is to meet the needs of Crohn's patients by enabling earlier intervention and promoting a faster return to normal life.

Medical projects in Kazakhstan
During the visit of the President of the French Republic to Kazakhstan in November 2023, Hékia was honoured to be invited to the business forum and to take part in the medical round table in Astana to forge partnerships. Since then, Hékia has had the honour of being invited by the President of the Republic of Kazakhstan to France in November 2024 to sign partnership agreements with the Karaganda Medical University and the Astana Multidisciplinary Hospital. Exciting medical research projects are now underway.
Hekia's AI at the service of medical imaging
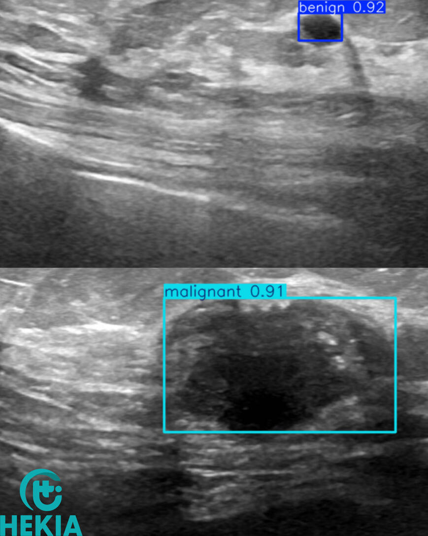
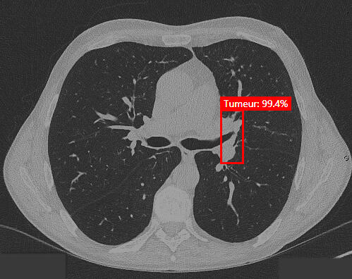
Hekia continues to test its artificial intelligence solutions to detect other diseases such as lung, skin and breast cancers. These projects are in their early stages and will require new partnerships, so if you're interested or have a research project to propose, get in touch!
Why Hekia ?
Hekia is a name that combines that of the Egyptian deity Heka, god of the power of magic, worshipped by ancient physicians, and the word AI (for artificial intelligence). Since AI is a bit magical, we've added an extra superpower to make it even more effective.
Have we aroused your curiosity?
You can contact us using the form below. We look forward to hearing from you!











